keyboard_backspace Back to News
FDA Awards Grant for LiverMultiScan to help NASH patients
Dallas, TX, September 17, 2019. The Food and Drug Administration (FDA) has awarded Perspectum Inc $250,000 to qualify its proprietary biomarkers for NASH in collaboration with Dr. Naim Alkhouri at the Texas Liver Institute.

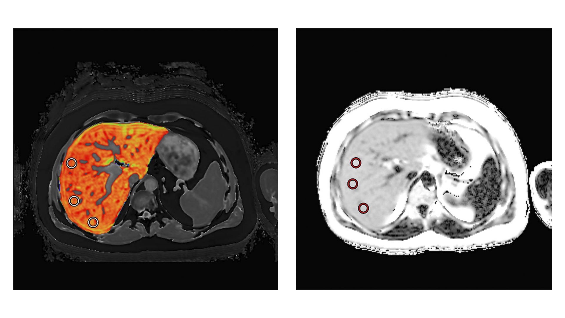
These funds have been awarded under the Drug Development Tool Research Grant (U01). The study will qualify the imaging markers cT1 and PDFF as drug development tools in non-alcoholic steatohepatitis (NASH); initially as diagnostic screening biomarkers to identify patients for inclusion in NASH clinical trials, then as pharmacodynamic efficacy biomarkers to detect clinically meaningful change, with the ultimate objective being approval as non-invasive surrogate endpoints. LiverMultiScan will help identify patients for NASH clinical trials. In discriminating healthy volunteers and patients with no fibrosis on liver biopsy from those with any degree of fibrosis (Ishak ⩾ F1), cT1 had a sensitivity of 86% and a specificity of 93% at a threshold of 800ms. (Journal of Hepatology, 2014, 60(1), 69 – 77).
The study will begin recruitment early next year and participants will be scanned at Touchstone Imaging Medical Center’s MRI facility in San Antonio.
“Non-alcoholic fatty liver disease is the most common form of chronic liver disease globally. Patients with the aggressive form of fatty liver called fibrotic non-alcoholic steatohepatitis (fibrotic NASH) have the highest risk of progression to cirrhosis and end-stage liver disease. Identifying these patients and assessing their response to different therapeutic agents represents the highest unmet need. LiverMultiScan is an attractive non-invasive method to address this unmet need. The grant will allow the Texas Liver Institute (TLI), a tertiary referral center for patients with liver disease, to collaborate with Perspectum to validate the use of LiverMultiScan in identifying patients with fibrotic NASH that will benefit from therapeutic interventions“. – Dr. Naim Alkhouri, the Texas Liver Institute
“As a patient who has experienced liver biopsy and as an advocate representing the interests of liver patients, I cannot overstate the importance of developments in non-invasive testing for NASH and other liver diseases. The Global Liver Institute encourages initiatives to support research in this vital area and looks forward to the results of Perspectum’s biomarker study.” – Donna Cryer, President and CEO of the Global Liver Institute
“Cases in this study will be patients who would typically qualify for randomization in a clinical trial comparing treatments for non-alcoholic steatohepatitis with fibrosis. Controls will be patients who were thought to possibly have NASH with fibrosis, but whose biopsies showed less severe or no disease. We hope to show that our imaging biomarkers can effectively discriminate cases from controls.” – David DeBrota, MD, VP of Medical R&D, Perspectum
Notes to editors:
Dr Naim Alkhouri Biography
Director of the Texas Metabolic Center, Texas Liver Institute, San Antonio, TX
My interest in research started when I came to the Cleveland Clinic to pursue a fellowship in pediatric gastroenterology. I worked with Dr. Ariel Feldstein on his research identifying new markers for NAFLD. My main project during fellowship was investigating the role of adipocyte apoptosis in the chronic inflammatory state associated with obesity. My work in the laboratory included doing different immunohistochemistry staining, ELISA, Western blots, and most importantly, developing an understanding of experiment design and result interpretation. More recently, my work in Dr. Raed Dweik’s breath analysis laboratory has led to the completion of a preliminary study using an unbiased approach to analyse volatile organic compounds in the breath of obese children to discover novel metabolic pathways linked to the pathogenesis of NAFLD. I joined the Texas Liver Institute in San Antonio as the director of the Texas Metabolic Center to continue my research in NAFLD and NASH in a large referral center for major liver disease clinical trials. The burden of NAFLD and NASH is enormous in Texas and most significantly affects Mexican Americans due to known and unknown genetic variants. The current application builds logically on my previous experiences and current position.
About The Global Liver Institute
The Global Liver Institute (GLI) is a 501(c)(3) tax-exempt not-for-profit organization, headquartered in Washington, D.C., United States. GLI’s vision is for liver health to take its place on the global public health agenda commensurate with its prevalence and impact. GLI’s mission is to improve the impact of the liver community by promoting innovation, collaboration, and scaling optimal approaches to eradicating liver diseases.
About Perspectum
Perspectum® is a medical imaging company developing and commercializing innovative software for the identification and monitoring of metabolic disease and cancer, delivered through software-as-a-service (SaaS). Perspectum has in-house capabilities covering the entire medical device life cycle, driven by a world-leading team of clinicians, engineers and scientists. Perspectum is a leading Imaging CRO servicing the liver clinical trials market, currently supporting almost 40% of all trials in NASH.