Body composition analysis offers insights into the quality of weight loss and patient health. These powerful tools support decision-making in drug development across a broad spectrum of clinical trials (i.e. obesity, neuromuscular disorders, cancer cachexia).

It is time to look
beyond weight…

Visceral fat

Ectopic fat

Muscle

Organ health

They all matter!

Relevant to support clinical trials in:

Obesity

Liver Disease

T2D

CVD

Muscular Dystrophy

Cancer Cachexia

Sarcopenia

Osteoporosis

Beyond BMI – Body Composition imaging is the new global standard in weight loss clinical trials

We provide neck-to-knee MRI body composition metrics including visceral (VAT) and subcutaneous adipose tissue (SAT), lean tissue volume, skeletal muscle volume and index, muscle fat infiltration (MFI), and suspected brown adipose tissue (sBAT).

Muscle volume and muscle fat infiltration – critical indicators of quality weight loss and overall health

Ectopic fat – impairs organ health and is one of major factors in cardiometabolic disease development

End-to-end imaging services

Our body composition analysis and organ health image offers insights into weight loss and patient health. These powerful tools support decision-making and trial design in drug development across a broader spectrum of clinical trials.

Our offering includes MRI body composition, MRI multi-organ ectopic fat and full-body DEXA assessment, which are fully customisable to your trial needs.

MRI body composition

Skeletal muscle

Visceral adipose tissue (VAT)

Subcutaneous adipose tissue (SAT)

Suspected brown adipose tissue (sBAT)

Muscle fat infiltration (MFI)

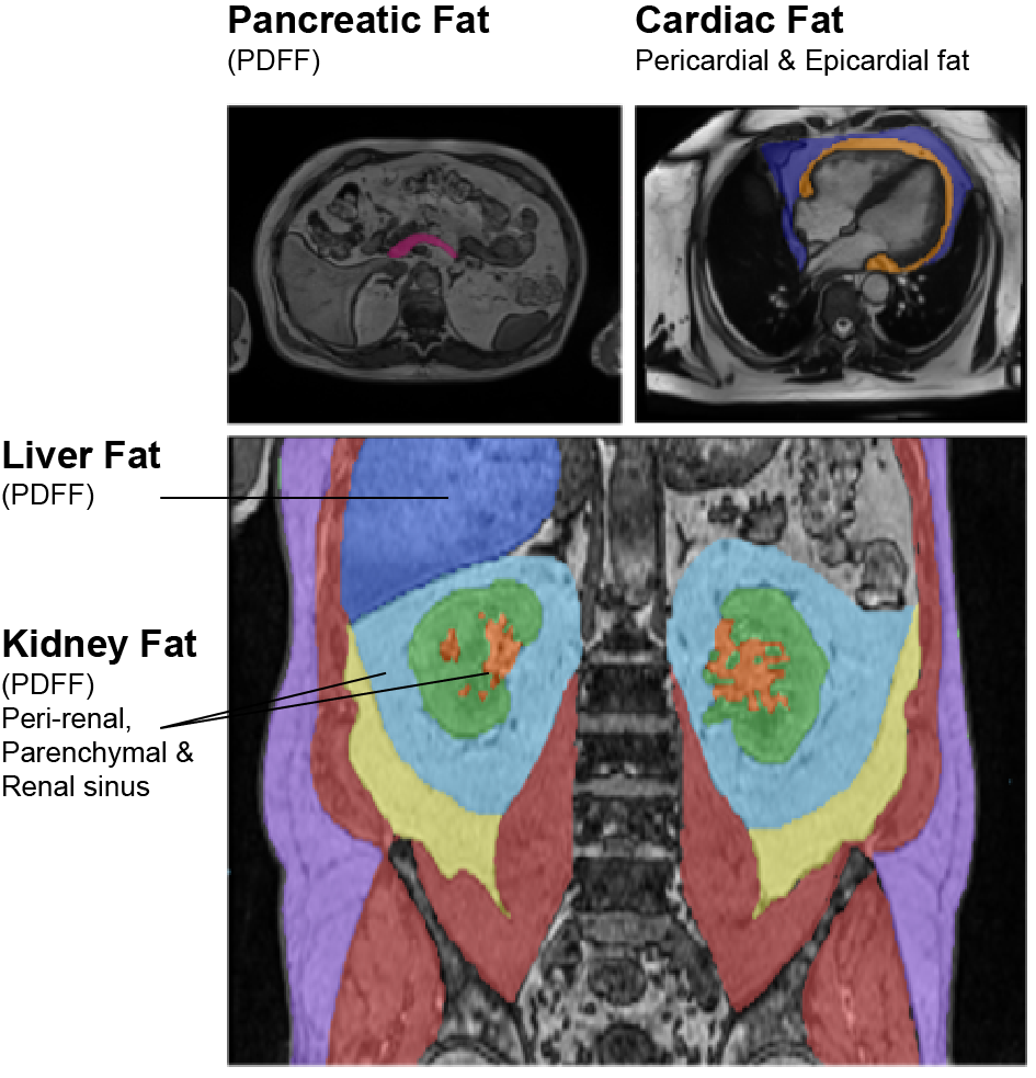
Multi-organ ectopic fat

Pericardial fat

Epicardial fat

Liver fat PDFF

Pancreatic fat PDFF

Peri-renal fat

Renal sinus fat

DXA / DEXA

Lean mass

Fat mass

Total mass

Percentage body fat

Bone mineral density (BMD)

Our expertise – your success in clinical trials

Global presence.
Our technology is present in 900+ sites worldwide

Regulatory and data privacy compliant

Seamless data integration and security

Rapid turnaround

In-house central platform

180+ Publications

Scientific Publications

Weight-related changes in MRI-derived measures of body composition and liver steatosis: a large-scale analysis for obesity trial design

Nowak, M. (2026)

International Journal of Obesity

Body CompositionLiverMultiScan

Repeatability, reproducibility, and observer variability of body composition assessment with single-slice lumbar MRI

Nowak, M., et al. (2025)

Discover imaging

Body Composition

Automated volumetric MRI quantification of body fat and skeletal muscle in the UK Biobank: technical validation against expert manual segmentations and comparison with single-slice techniques

Nowak, M., et al. (2025)

Abdominal Radiology

Body Composition

Repeatability, Reproducibility, and Observer Variability of Cortical T1 Mapping for Renal Tissue Characterization

Nowak, M., et al. (2024)

Journal of Magnetic Resonance Imaging

Body Composition

Greater ectopic fat deposition, liver fibroinflammation and lower skeletal muscle mass in people with type 2 diabetes

Waddell, T., et al. (2022)

Obesity

Body CompositionLiverMultiScan

Weight loss-related changes in MRI-derived measures of body composition and liver health: a large-scale analysis from UK Biobank

Nowak et al. (2025)

MASH-TAG

Robust assessment of abdominal obesity using a single-slice L3 MRI method

Nowak et al. (2024)

ObesityWeek

Fast and robust assessment of abdominal obesity in individuals with a range of cardiometabolic and liver tissue characteristics – a retrospective analysis of UK Biobank data

Nowak et al. (2024)

American Diabetes Association (ADA)

Population-scale MRI body composition assessment: robust associations between single-slice and volumetric muscle and adipose tissue in the UK Biobank

Nowak et al. (2025)

Society for Abdominal Radiology (SAR)

Gaining Clinically Relevant Insights in Obesity and Metabolic Diseases through Advanced Imaging Solutions

Body Composition

Connect with Our Team

Do you have questions about our clinical or pharmaceutical solutions?

Our team is here to help. Simply share your question and your email address, and a member of the team will get back to you directly.